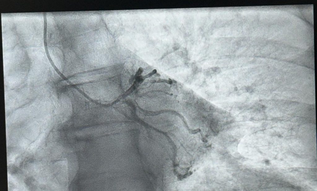
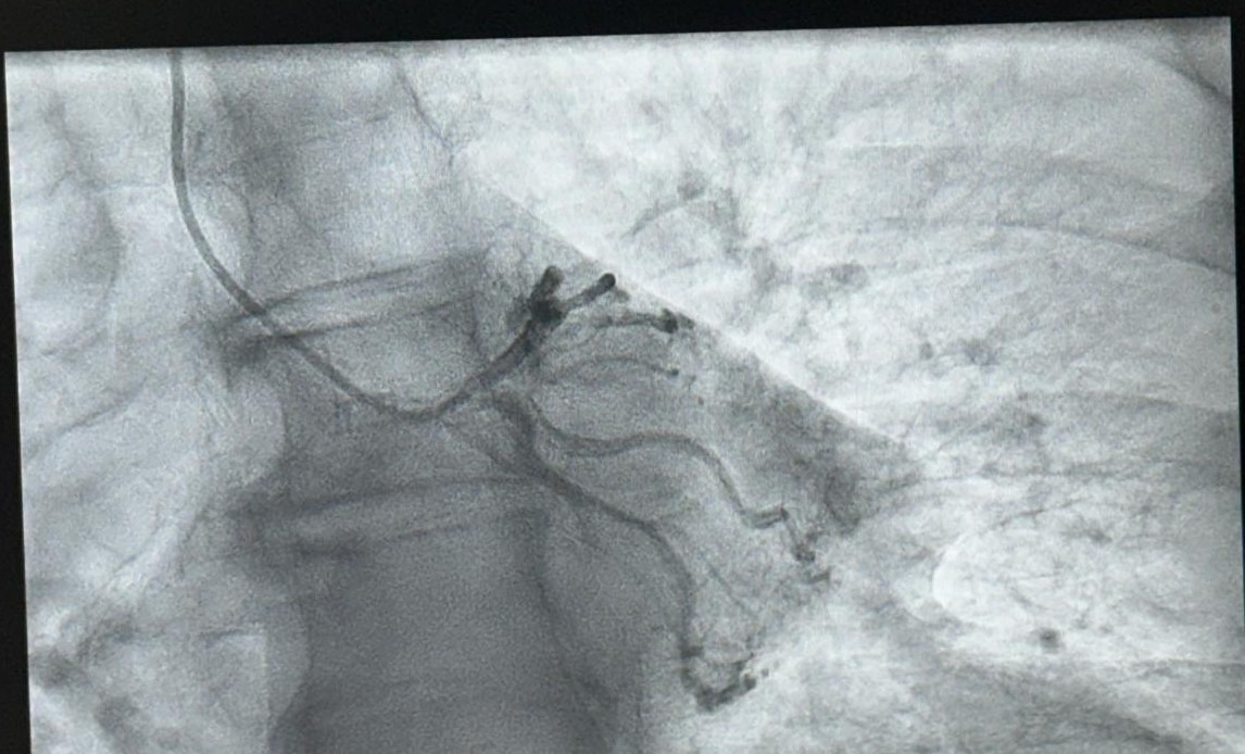
Sot u realizua me sukses koronarografia e parë pranë Spitalit Katolik Zoja e Këshillit të Mirë, duke shënuar kështu fillimin e një shërbimi të rëndësishëm për spitalin tonë.
Salla e re moderne e angiografisë me pajisjet më të avancuara garanton precizion të plotë diagnostik dhe cilësi të shkëlqyer të trajtimit për pacientët tanë sipas standardeve evropiane.
- Procedura e koronarografisë diagnostike u realizua me sukses nga ekipi ynë profesionist: Dr. Aurel Demiraj, Dr.Alk Shehu, Dr. Ervin Bejko dhe ekipi i infermierëve.
Spitali Katolik “Zoja e Këshillit të Mirë” vazhdon të angazhohet për ofrimin e kujdesit shëndetësor me standardet më të larta, në shërbim të komunitetit.
Spitali Katolik Zoja e Këshillit të Mirë
Përkushtuar Shëndetit Tënd
Hyrja Rruga “Dritan Hoxha” dhe Rruga “Ana Komnena” 74, 1023 Tiranë
Tel: +355 445 05 004
WhatsApp: +355 69 70 77 550
E-mail: [email protected]
Web: www.zoja.al








